無精子症
無精子症azoospermiaは精液中に精子が見られないもので、全男性の1%、男性不妊症の患者さんの10~15%にみられるとされていますが、精液がまったく出ない無精液症aspermiaとは違うものです。精液を遠心分離して(正確な表現ではありませんが)精液を濃縮しても精子が見つからなければ無精子症と診断されますが、少なくとも2回は精液検査を行い確認する必要があります。
無精子症の原因は大きく3つに分けられます。
精巣前性無精子症(二次性精巣機能障害)は内分泌(ホルモン)の異常が精巣の精子を作る働きを障害しているものです。
精巣性無精子症(原発性精巣機能障害)は精巣での精子を作る働き自体に問題があるものです。
精巣後性無精子症は、精巣で精子は作られているのですが、精子の通り道(精路)の閉塞や射精障害により精液中に精子が出てこないものです。
1. 精巣前性無精子症(二次性精巣機能障害)
両側の精巣が小さく、内分泌検査でFSHとテストステロンがともに低いと、低ゴナドトロピン性性腺機能低下症と考えられます(内分泌検査)。
原因としては先天性のKallman症候群や下垂体の腫瘍、下垂体手術の後遺症などがありますが、わが国でもHCG(胎盤性性腺刺激ホルモン)とFSHの自己注射ができるようになったので、低ゴナドトロピン性性腺機能低下症ではお子さんを授かることにかなり期待がもてるようになりました。
2. 精巣性無精子症(原発性精巣機能障害)
両側の精巣が小さく、FSHが上昇しており、テストステロンは正常か低いということであれば、原発性精巣機能障害で精子が作られていない状況が考えられます(内分泌検査)。
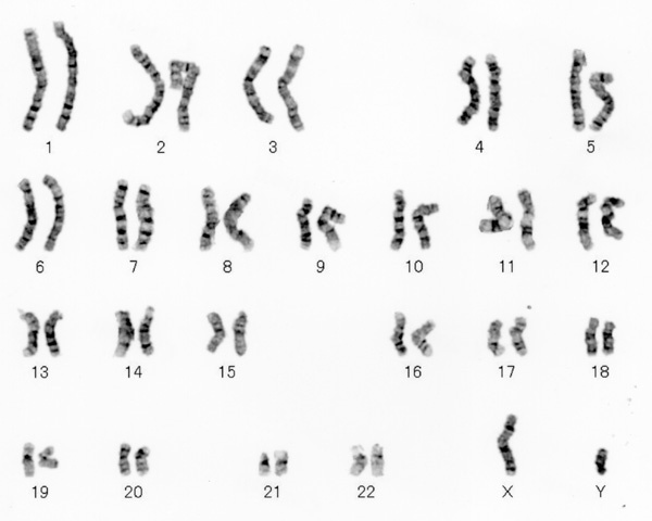
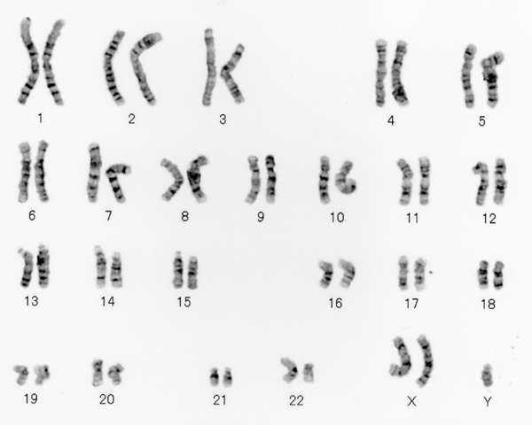
大人になってから「おたふく風邪」にかかり、精巣が腫れると子供ができなくなるというのは精巣性無精子症です。また、精巣性無精子症の患者さんには生まれつきに染色体に異常があることがあり、よくみられるのは普通の男性(46、XY)よりX染色体が多いクラインフェルター症候群(47、XXYのことが多い)です。
精巣性無精子症でも、精索静脈瘤があれば、顕微鏡下に内精索静脈を結紮して、その30%で精液中に精子が出現したとの報告があります(Fertil Steril, 635-639, 2006)。精索静脈瘤が原因でなければ、治療による精液中への精子の出現は期待できませんので、昔は原発性精巣機能障害による無精子症と分かった時点でお子さんについては諦めてくださいとお話していました。しかし生殖医療技術の進歩により、現在では顕微鏡で精巣内のごくわずかな精子を探し出し(顕微鏡下精巣内精子回収術microdissection TESE)、その精子で顕微授精(ICSI)を行い、お子さんを授かることができるようになりました。
精巣の大きさが正常で、FSHも高くないのに精巣性無精子症のことがあります。この場合は精巣で精子を作っていないのか、精子はできているが精液中に出てこれないのかは、精巣のなかに精子がいるのか、いないのかを実際に見てみないと診断がつきません。
3. 精巣後性無精子症
精巣で精子は作られているのですが、精子の通り道(精路)が詰まっていて精子が出てこれない閉塞性無精子症の原因としては先天性の精管欠損、そ径ヘルニア手術の後遺症やパイプカットなどがあります。
閉塞性無精子症では、精巣内には沢山の元気な精子がいると考えられますのでお子さんを授かる希望が叶えられる可能性は大です。治療については、精路をつなぎなおす手術がいいのか、あるいは精巣内の精子を採ってきて顕微授精(ICSI)をした方がいいのかは、閉塞の原因や奥様の状況により総合的に判断しなければなりません。
性感染症(STI)
性感染症(STI)のうちで、男性不妊症の原因となるものとして重要なのは淋菌およびクラミジア感染症です。これらに感染すると、男性では尿道炎を起こし、ほっておくと精巣上体炎にまで進行します。精巣上体炎を起こしてしまうと、治っても精路(精子の通り路)が塞がり、その結果無精子症となってしまうことがありますから大変に恐い病気です。
淋菌感染症
淋菌は非常に弱い菌なので、性行為以外で感染することはまずありません(銭湯で淋病をうつされたとかいうのは、ありえません)。男性では、淋菌に感染すると、性的行為から2~7日して排尿時の痛み、尿道からの膿の排出などの尿道炎の症状が出現します(淋菌性尿道炎=淋病)。膿の量はかなり多く、黄白色です。この尿道炎をほっておくと、淋菌が精管をさかのぼっていき、精巣上体に炎症を起こします(精巣上体炎)。精巣上体は大きく腫れ、痛みが強く、熱も出ます。両側の精巣上体に炎症が起きると、治っても精子の通り道が塞がってしまい、無精子症となり不妊症の原因となります。診断は膿や尿のなかの淋菌を確認することで診断されます(淋菌)。淋菌の感染があるときは、20~30%でクラミジアにもかかっており、必ずクラミジアの検査もしなければなりません。淋菌は抗菌薬(抗生物質)に抵抗力のある耐性菌が増えており、非常に問題となっています。米国でも2007年4月のCDC(疾病管理センター)の勧告として、淋菌感染症にはニューキノロンは使わないということになりました。現在はセフォジジム、セフトリアキソン、スペクチノマイシンの注射やセフィキシムの内服が推奨されていますが、当院ではセフトリアキソンの1回だけの注射を治療の第一選択としています。
クラミジア感染症
性感染症(STI)のうちで患者さんの数が最も多い病気です。クラミジアに感染すると、性的行為から1~3週間で尿道炎の症状がでてきます。排尿時の痛みは軽く、痒み程度に感じられることもあり、尿道からの膿も淋菌のときと違って量が少なく、サラサラしています。さらに、女性と違って症状が出やすいとされる男性でも、最近では自覚症状がまったくない人が増えており注意が必要です(自覚症状のない20歳台の男性を調べてみたら、4~5%がクラミジアにかかっていたという報告もあります)。クラミジア尿道炎の約5%で精巣上体炎を起こすとされますが、淋菌性の精巣上体炎と違って、腫れや痛みは軽く、熱もあまり出ません。かかっていることに気が付かないことも多いのに、無精子症となり不妊症の原因になるところは同じですので、むしろ淋菌よりクラミジアのほうがやっかいです。男性のクラミジア尿道炎、精巣上体炎の診断は、初尿(排尿の最初の部分)中のクラミジア・トラコマチスの核酸(DNA、RNA)を検出する方法が使われますが、最近では淋菌とクラミジアを同時に調べる検査法も開発されています。検査結果が出るのには5日間くらいかかります。治療はマクロライド系、テトラサイクリン系、ニューキノロン系の抗菌薬の内服になりますが、当院では1回だけ服用すればよいアジスロマイシンを治療の第一選択としています。
【参考文献】
1.日本性感染症学会: 性感染症 診断・治療ガイドライン2004
2.米国疾病管理センター(CDC): 性感染症治療ガイドライン2006




